Москва, улица Вертолетчиков, 5к1

Работаем с 9:00 до 20:00
без выходных

Пн-Вс: с 9:00 до 20:00 Москва, улица Вертолетчиков, 5к1

Наши услуги

Наши специалисты

Photo
Стоматолог-ортопед-хирург,
стаж 40 лет
Photo
Стоматолог-терапевт-ортопед,
стаж 19 лет
Photo
Стоматолог-терапевт-ортопед,
стаж 4 года
Photo
Стоматолог-ортопед-хирург-терапевт,
стаж 15 лет

Отзывы наших пациентов

Нина У.

3 августа 2025

Хочу выразить огромную благодарность всем специалистам этой замечательной клиники! Мы долго решались на лечение, но с первых минут общения с врачами все сомнения исчезли.

Станислав Дмитриевич спокойно, доступно объяснил все этапы процесса, и имплантация прошла безболезненно и с минимальными неудобствами. В любое время дня и ночи был на связи, поддерживал и помогал.

Владимир Анатольевич – настоящий мастер своего дела! Коронки и мосты, которые он поставил, получились настолько естественными, что сразу стало ясно, что это — не просто работа, а творческий подход. Они идеально подошли по форме и цвету, такие, как свои зубы!

Отдельное спасибо Анатолию Николаевичу! Он организовал лечение и вселил уверенность и спокойствие.

В целом, мы остались невероятно довольны результатом и атмосферой в клинике. Это место, где заботятся о пациентах, и где работают настоящие профессионалы своего дела.

Огромная благодарность всем врачам за их внимание, терпение и труд!

Анна К.

18 июня 2024

Добрый день! Хочу выразить свою благодарность хирургу-стоматологу, имплантологу БОБРОВУ СТАНИСЛАВУ ДМИТРИЕВИЧУ! Сказать, что Станислав Дмитриевич - хороший специалист, это ничего не сказать. Это действительно врач от Бога!

Ситуация моя нестандартная: 40 лет я лечила зубы у своей Мамы и пользовалась услугами лучших специалистов. Но они ушли на пенсию, я сменила место жительства и мне пришлось искать новых врачей. Я заглянула во многие клиники. Мне казалось это невыполнимой задачей.

Но однажды я попала к Станиславу Дмитриевичу и почувствовала то доверие, которое я искала.

Во-первых, положительная атмосфера и ощущение комфорта.

Во-вторых, профессионализм и высокий уровень знаний. Процедуру удаления производит безболезненно, постоянно интересуется ощущениями. Всё объяснит и расскажет (несколько раз).

В-третьих, блестящий психолог! Находит индивидуальный подход. Очень деликатен, вежлив, внимателен!

Благодарю за терпение и понимание.

Низкий Вам поклон!

Альфия Х.

18 мая 2023

Очень довольна клиникой! Долго ждала открытия, так как живу в этом же доме и удобно ходить. И не зря! Нравится весь персонал, приветливый администратор, ассистент и врач профессионал. Решила вылечить один зуб, но врач Цой В. А. после осмотра сказал, что ещё стоит сделать и почему. Ничего не навязывают, всё процедуры по делу и предварительно согласовывают. Нравится подход врача, аккуратно делает, максимально сохраняя зуб. Очень внимателен и подробно объясняет варианты лечения. В другой клинике не стали так кропотливо прочищать каналы зуба, и образовалось воспаление, пришлось перелечивать. И объяснили, что ждёт, если оставить как есть (зуб не болел). Владимир Анатольевич всё делает на 100%. Только убедившись, что всё чисто, ставит пломбу. Цены тоже доступные, не завышены. Рекомендую клинику и врача Цой В.А.

Примеры работ

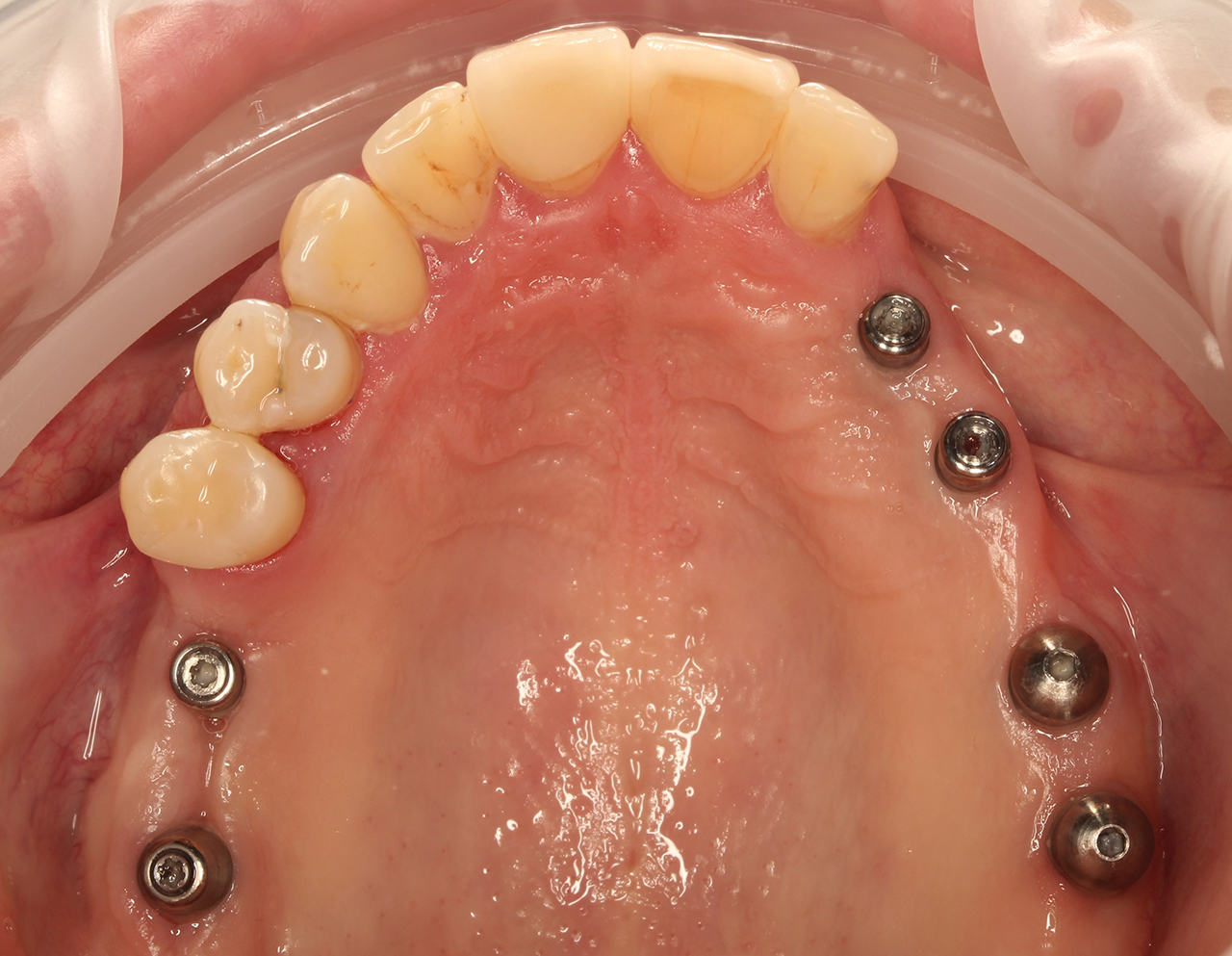
Восстановление утраченных зубов

Имплантация и коронки с опорой на имплантах. Винтовой метод фиксации.

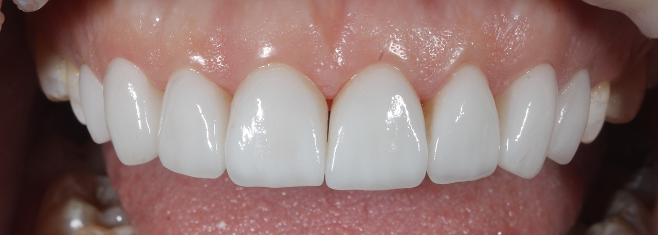
Замена виниров

Замена старых композитных виниров на керамические виниры.

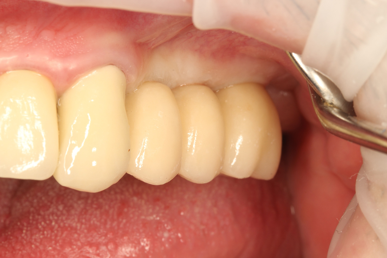
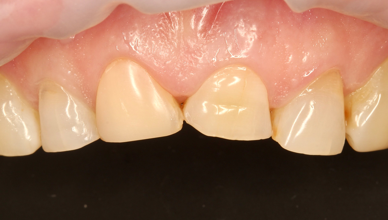
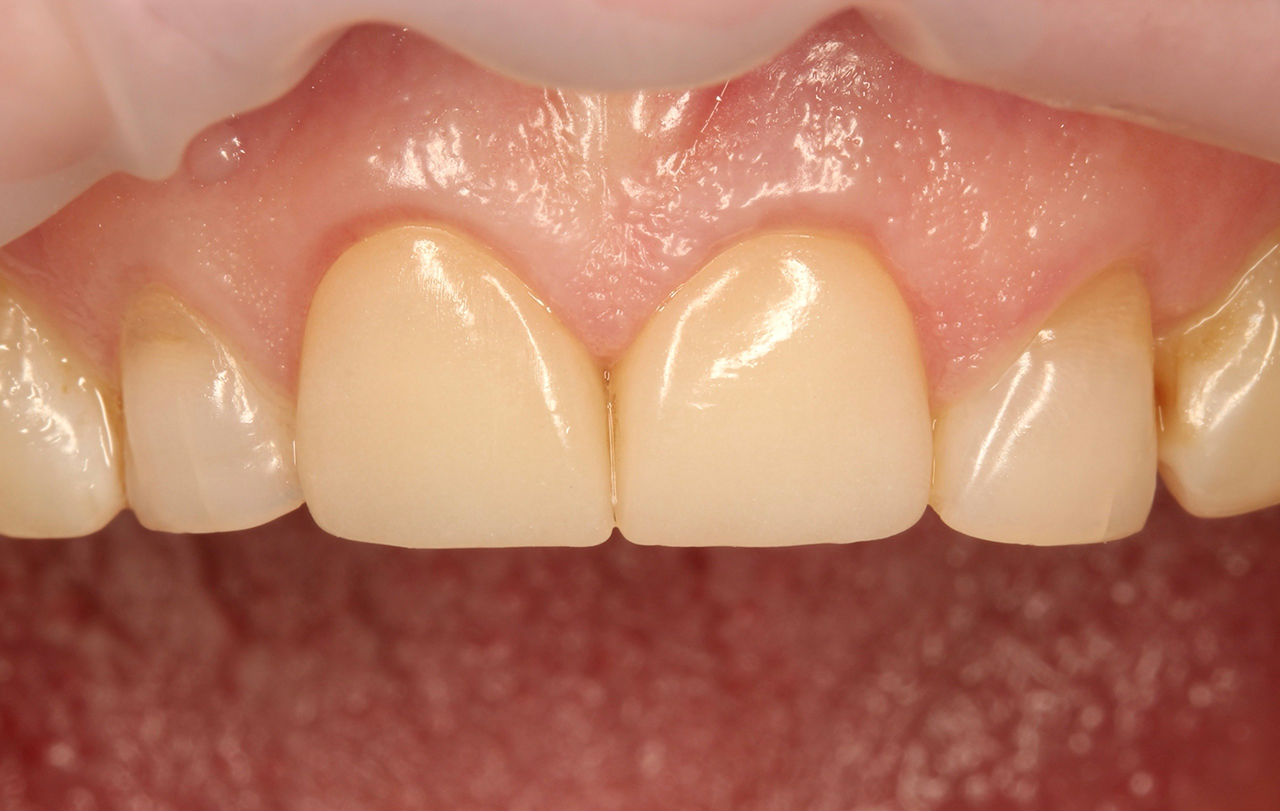
Восстановление зубов

Восстановление 2х фронтальных зубов, замена пломб на циркониевые коронки.

Лечение кариеса

Лечение кариеса, 1 класс по Блэку.

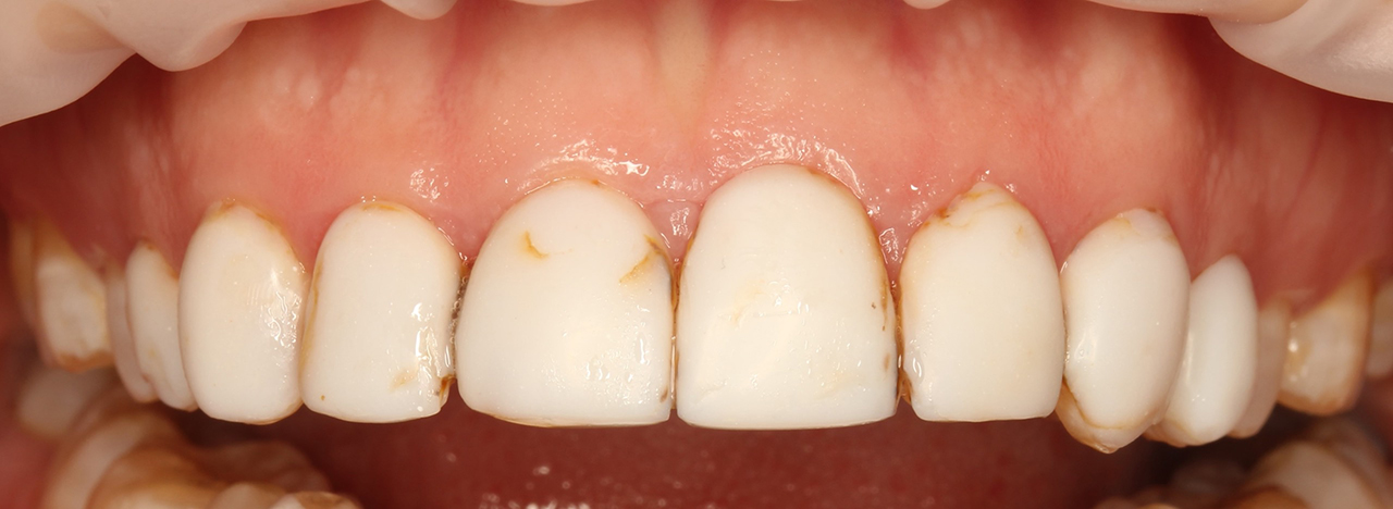
Замена старых пломб

Замена старых пломб. Лечение вторичного кариеса, 2 класс по Блэку.

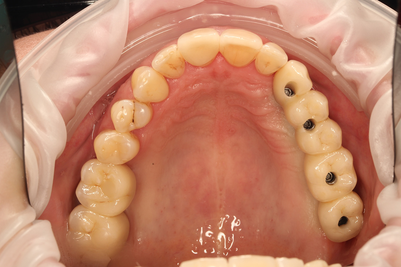
Восстановление утраченных зубов

Имплантация и фиксация 3х коронок с опорой на 2х имплантатах.

Замена виниров

Замена старых композитных виниров на керамические виниры.

Как добраться до нашей стоматологии

с 09:00 до 20:00 без выходных

Москва, улица Вертолетчиков, 5к1

Некрасовка